FORMATION IMPLANTOLOGIE ZIRCONE

Dr_Claude_Gallizia

Dr. Calude Gallilzia

26 et 27 Janvier 2024

avatar_31816_1581251598

Dr. Thierry Maleca

23 Mai 2024

Les implants Zircone apportent depuis quelques années des avantages incontestables en implantologie !

Ce sont très certainement les solutions de remplacement du titane.

L’absence de métal avec ses conséquences en allergologie, l'esthétique et surtout la simplicité prothétique,

tout en surfant sur la biologie et une biocompatibilité gingivale et osseuse superbe constituent une première

partie de ces avantages !

La gestion en implantologie en est simplifiée et surtout elle correspond à une demande de plus en plus

importante de nos patients.

Vidéos et chirurgie en direct viendront répondre à vos questions sur le Zircone.

white_sky_site
560A8520
AH4A1932
bredent_formation_roubinet
image1
image5
image3-2

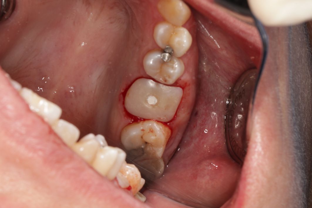
Extraction-Implantation immédiate et Aménagement Tissus mous

AH4A2873

Dr. Vincent Roubinet

11 octobre 2024

Extraction – Implantation Immédiate et pilier SSA (Socket shield abutment)

Quels avantages d'une chirurgie guidée VS une chirurgie à main levée?

Par le Dr. Vincent Roubinet à Montélimar

Formation design numérique Exocad en différents modules

thierry

Thierry Le Nezet

12 et 13 Janvier 2024

24 et 25 Mai 2024

27 et 28 Septembre 2024

Formation design numérique Exocad en différents modules.

Par Thierry Le Nezet

exocad
exocad-Bredent_France
revocone_formation
image2 copy

Revocone

thierry

Thierry Le Nezet

Digital Design & Exocad

560A1517

Plènecassagne Pierre-Yves

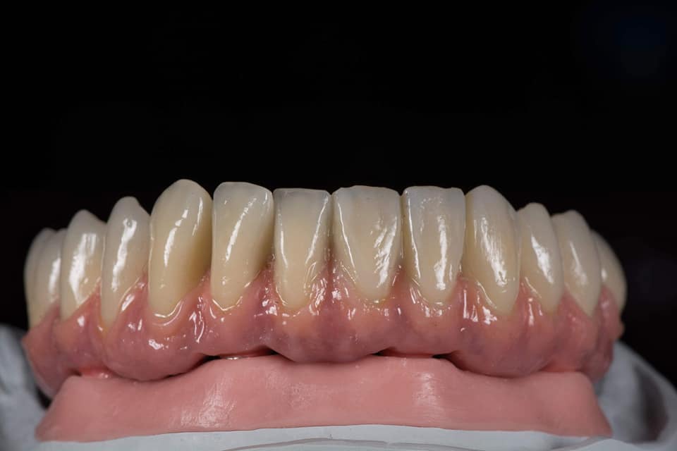
Technique double couronnes

560A9858

Lodéon Paul-Henri

Fraisage DCS

08-10 Février 2024

25-27 Avril 2024

17-19 Octobre 2024

Le système "double couronnes" permet une hygiène

optimale, une esthétique personnalisable avec un

recouvrement vestibulaire.

· Prophylaxie et maintenance facilitées par

le système REVOCONE

Un système Télescope à Frictions interchangeables,

une alternative aux prothèses transvissées

sur implants.

· Solution numérique

Mimétisme Luxor Z et Hipc et caractérisation fausse gencive en Créalign sur base en BioHpp

griffon

Fernando Griffon

7 et 8 Juin 2024

Mimétisme Luxor Z et Hipc et caractérisation fausse gencive en

Créalign sur base en BioHpp par Fernando Griffon

image1-4
560A4449 copy
image3-3
Fast & Fix
Fast & Fix Dr. Roubinet

Mise en charge immédiate de prothéses implanto-portées sur édentés totaux en chirugie guidée : la technique Fast and Fixed

AH4A2873

Dr. Vincent Roubinet

11 et 12 Octobre 2024

CHIRURGIE EN LIVE
+ TP sur simulateur (de la pose des Implants à la réalisation de la prothèse provisoire)

Formation Pratique en Implantologie

DrReys

Dr Guillaume REYS

21 Mars et le 17 Octobre 2024

devenez autonome dans la pose d’implants

simple en respectant les principes

fondamentaux de la discipline !

Journée animée par le Dr Guillaume REYS

IMG_4248
IMG_4256
IMG_4289
Flyer Tour De France

WORKSHOP: Traiter l'édenté total

La prothèse complète de A-Z LIVE sur patient .

Un expérience pour le dentiste et le prothésiste simple mais efficace

Théorie et pratique sur Patient avec

Prof. Jean -Paul Louis

Prothésiste Philippe Pisseloup

  • Rennes 18/01/2024
  • Lille  21/03/2024
  • Dijon  11/04/2024
  • Marseille 30/05/2024
  • Bordeaux 19/09/2024
  • Lyon 10/10/2024
  • Nancy 21/11/2024